
Patellar Luxation in Dogs
Dr. med. vet. Lena von Spiessen
15.06.2025
Why an unusual gait often means more than just a quirky breed trait
Many dog owners first notice it during play or walks: at faster gaits, the dog hops as if it has “forgotten” a hind leg. What some dismiss as a charming breed-specific quirk may actually be a serious orthopedic issue – patellar luxation.
What is patellar luxation?
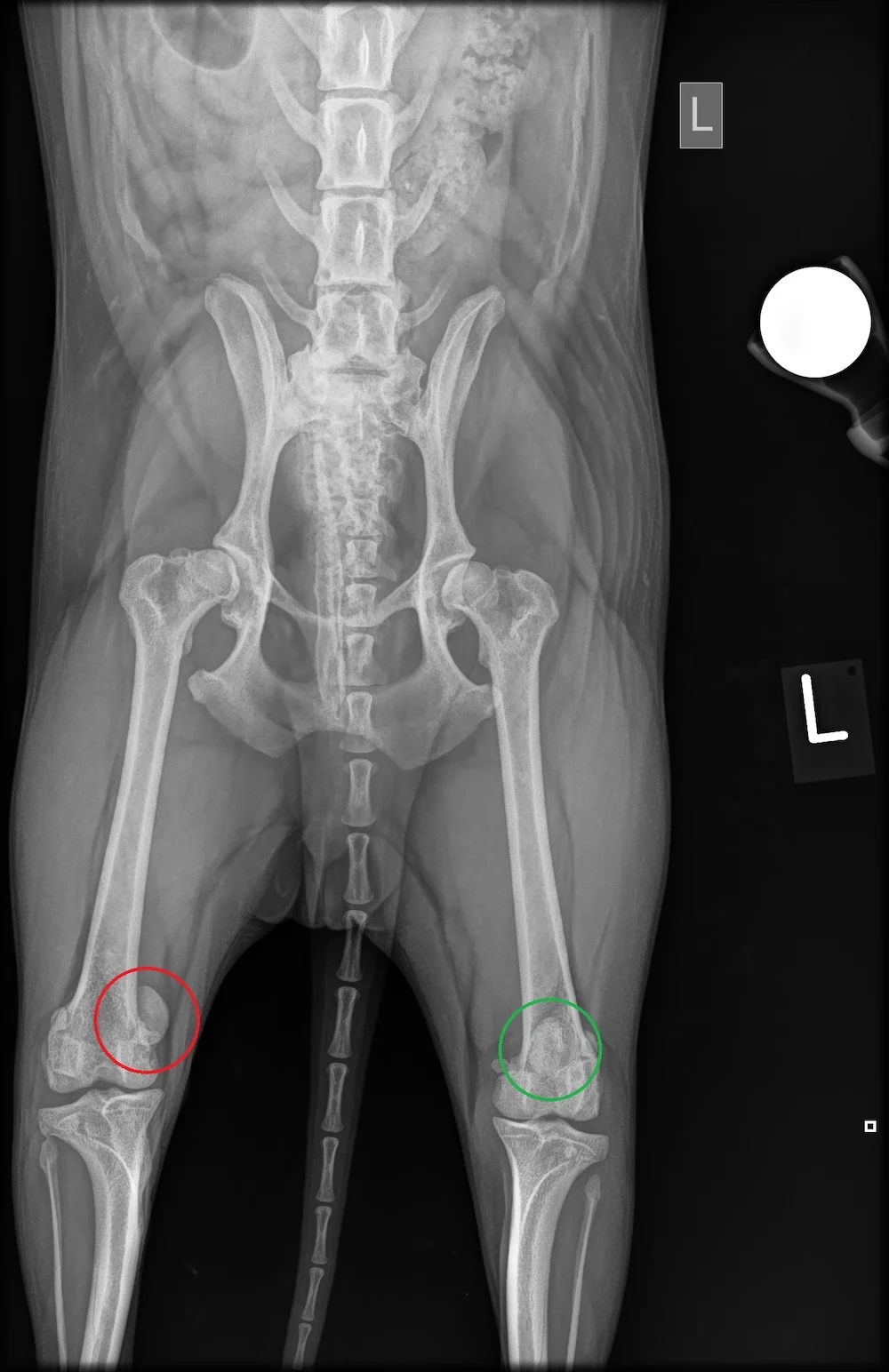
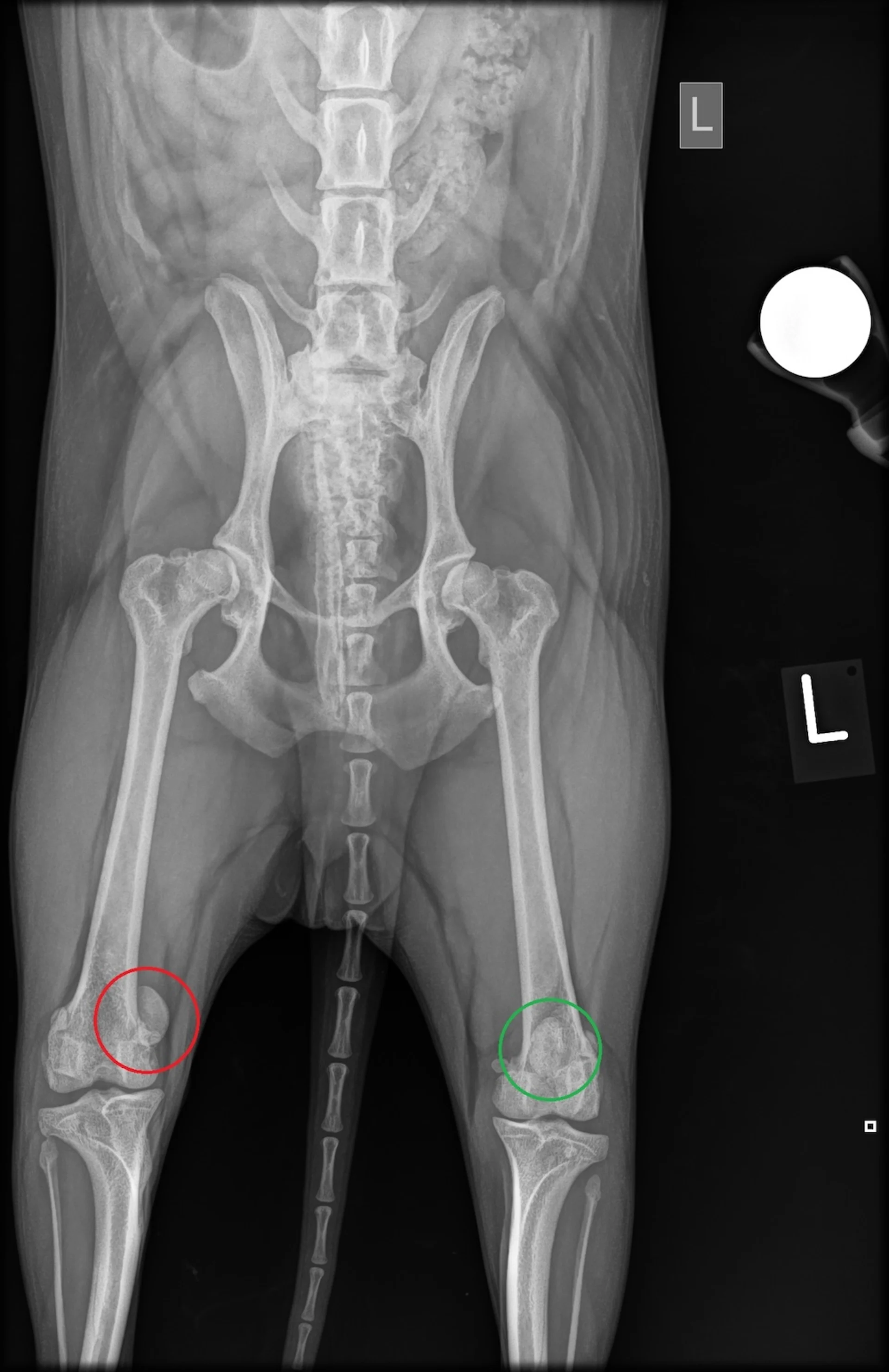
The kneecap, or patella, normally glides in a groove of the femur near the knee. If it jumps out of this groove during movement, it’s called a luxation. This dislocation disrupts motion briefly – seen when the dog suddenly lifts or avoids weight on a leg. Depending on the severity (Grade 1–4), the impact varies. Early diagnosis is key to preventing long-term damage.

x-ray
Small dog breeds more commonly affected
Luxation often appears in young dogs, especially small breeds like Chihuahuas, Toy Poodles, Yorkshire Terriers, or French Bulldogs. But mixed breeds and other dogs can be affected too – so owners’ awareness is essential.
Recognize and treat pain – avoid secondary damage
Untreated luxation can lead to limited mobility, pain, muscle loss, and joint wear. Over time, cartilage damage may cause arthritis, and instability can lead to cruciate ligament tears.
Breeding responsibility – focus on prevention
For breeders, patella screening is vital for breeding hygiene. In Switzerland, many breed associations recommend or require this test for breeding dogs between 15 and 24 months of age. The goal: identify and select healthy dogs to reduce future cases.
How a patella screening works:

Examination for patellar luxation
The dog’s microchip is checked against pedigree data. A brief clinical exam follows, done by SVK-certified veterinarians. They assess gait and perform an orthopedic exam while the dog is standing and lying on its side:
- Is there hind limb lameness or muscle atrophy?
- How stable is the kneecap in its groove?
- Can it be displaced gently?
- Does it return on its own?
- Are other knee disorders present?
Severity grades (1–4):
- Grade 1: Patella dislocates manually, otherwise normal
- Grade 2: Spontaneous luxation, returns on its own
- Grade 3: Constantly luxated, manually repositionable
- Grade 4: Constantly luxated, not repositionable
Breed suitability for breeding depends on findings and association rules. Typically, Grade 0 is suitable, Grade 1 possibly with restrictions.
Only GST-certified vets can assess breeding suitability
In Switzerland, only veterinarians certified by the GST (Swiss Veterinary Society) are authorized to conduct breeding evaluations. Certification must be renewed every four years.
Your VetTrust Basel Veterinary Clinic – Expert Patella Screenings
We offer comprehensive patella screenings at the VetTrust Clinic Basel, conducted by veterinarians officially certified by the GST.